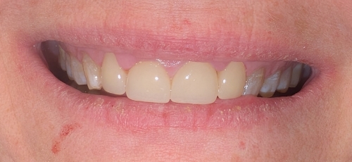
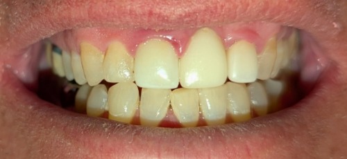
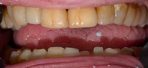
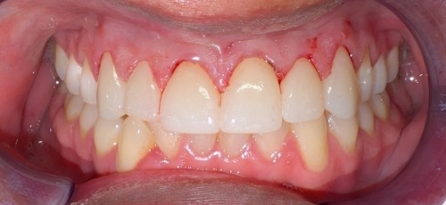
Dental Smile Gallery Albuquerque

Real Results & Happy Patients

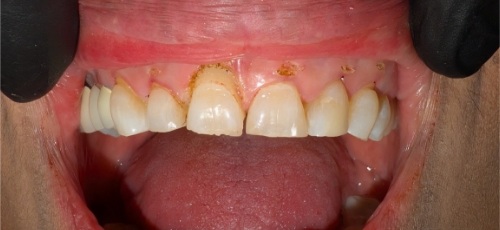
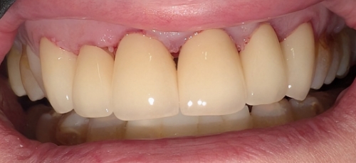
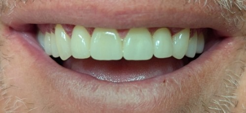
It takes a lot of effort and attention to detail to create a smile that is both beautiful and suited to the individual patient. But, as you’ll see in the real before and afters below, the journey is always worth it! We’re very fortunate to have been a part of some amazing transformations over the years, and to get a preview of the quality of care you’ll enjoy here, you’ll find plenty of examples below.